Braces & Aligners - Orthodontics
- Home
- Orthodontics
- Braces & Aligners

WHAT IS ORTHODONTIC TREATMENT?
You might have seen children and adults wearing braces or wires on their teeth which is called as “orthodontic treatment”. This treatment corrects the irregularities of your teeth. Teeth in irregular position due to crowding lead to an undesirable appearance and smile. To correct such issues, one has to go through this treatment. Braces and aligners help to move teeth from their current position to the correct position. Orthodontic treatment not only helps in improving the oral health condition but also corrects facial bone development. Orthodontic treatment improves the function of your teeth and it may prevent bigger dental problems which may develop later in life.
WHAT ARE THE DIFFERENT TYPES OF BRACES??
Advantages of Braces & Aligners
- Straightens misaligned teeth for improved dental aesthetics.
- Corrects bite issues, enhancing overall dental function.
- Reduces the risk of dental problems and uneven wear.
- Facilitates easier cleaning and maintenance for better oral hygiene.
- Boosts confidence and improves self-esteem with a straighter smile.
- Aids in clearer speech for individuals with misalignment-related speech issues.
- Enhances chewing efficiency for improved digestion and oral comfort.
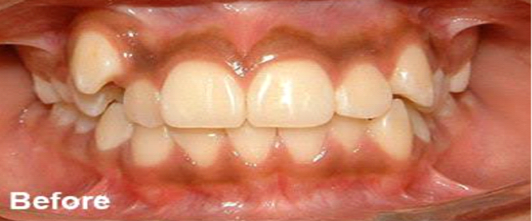
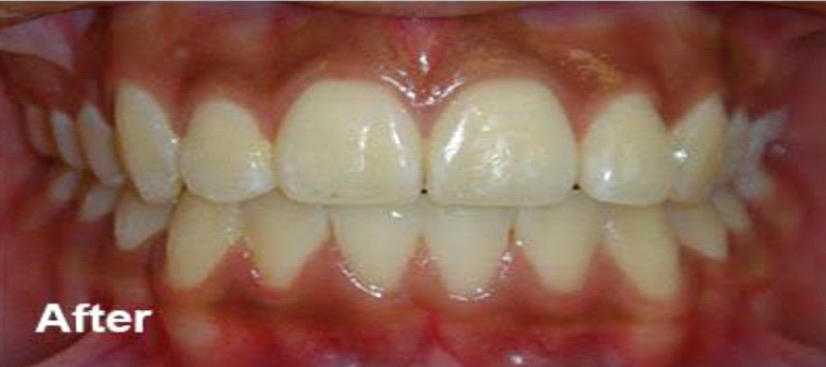
Results of Braces & Aligners


Why Choose Us ?
At Orange Dental Clinic, we’re not just passionate about your oral health; we’re dedicated to brightening your smile and enhancing your confidence. Our team of skilled and caring dental professionals is committed to providing you with top-notch dental care in a warm and welcoming environment. With our state-of-the-art facilities and a wide range of services, from teeth whitening to comprehensive dental care, we’re here to make your dental experience comfortable and enjoyable. Don’t wait to transform your smile and oral health. Come and experience the difference with Orange Dental Clinic. Your radiant, healthy smile is our priority.
Looking for Orthodontics in Chandigarh Punjab ? Consult Us, Today!
Book an appointment today, with one of our highly qualified and experienced dentists, to discuss your problem, learn about possible treatment options, and determine whether you would be needing veneers. You can also book an appointment by calling +91 9779996266